Dr Elizabeth Dove, known as Lizzie by all, graduated from Dentistry in 2012 from Griffith University on the Gold Coast. After graduating she lived and worked privately in Sydney. She enjoyed the hustle and bustle of the city but missed our sunny Gold Coast.
Dr Dove has experience in many aspects of dentistry. Her experience in general dentistry is preventatively and aesthetically focused and is driven by her desire to deliver treatment that is right for the individual patient’s health needs, aesthetic desires and long-term success.
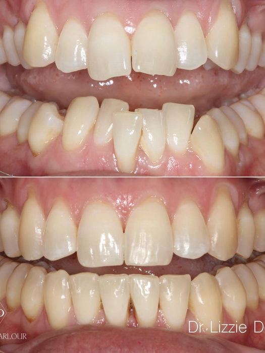
Her experience has involved all aspects of dentistry including preventative and general dental treatments as well as more complex veneers, crowns, composite bonding, full mouth rehabilitation of worn dentition, tooth extractions, treatment of toothache and periodontal/gum treatments and dental implants. Dr Dove also enjoys paediatrics and treats children of all ages. Dr Dove’s particular area of interest is aesthetics and Invisalign clear aligners.
In 2013 Dr Dove became an accredited Invisalign provider. She then had the amazing opportunity to work with the Post Graduate School of Dentistry to help develop and deliver their course the Graduate Diploma of Aesthetic Orthodontics (Sequential Aligner Therapy) to fellow dentists. In doing this she gained a keen understanding of dental and facial aesthetics and the skills in delivering multidiscipline treatment involving both Invisalign and aesthetic procedures such as composite bonding, veneers and crowns.
Whilst Dr Dove has extensive experience, she believes that you never stop learning and is committed to continued education. She enjoys sharing her passion for dentistry and all she has learnt and has worked as a mentor for new graduate dentists.
Dr Dove’s focus in delivering treatment is to find the right treatment plan to suit her patient’s health needs and aesthetic desires. She finds the most rewarding part of her job helping patients become more comfortable with dental treatment and having the privilege of giving her patients a beautiful confident smile they can be proud of.
When Lizzie’s not at the dental practice she most enjoys spending time with her husband and two boys and when there’s time getting creative with photography and baking and keeping active at the gym (which means less guilt when enjoying those baked goods).
Dr Elizabeth Dove





